最近佛山那边的种牙事件可是闹得沸沸扬扬的,咱们得好好来聊聊这个话题。你有没有听说,佛山某口腔医院因为种牙问题引发了一场不小的风波?别急,让我带你一探究竟,看看这背后到底隐藏着怎样的秘密。
一、事件起因:患者反映种牙后问题不断

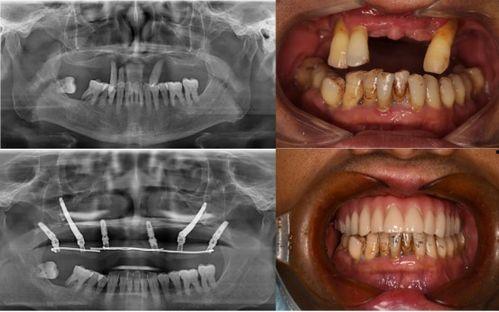
话说这佛山某口腔医院,一直以来都是以专业、正规的口腔医疗服务著称。最近却因为一起种牙事件,让这家医院的名声受到了严重影响。事情是这样的,一位名叫李女士的患者,在去年年底在该医院进行了牙齿种植手术。本以为从此告别了牙齿问题,没想到术后却出现了种种不适。
李女士表示,手术后的牙齿不仅疼痛难忍,而且种植体还出现了松动的情况。她多次找到医院要求解决,但得到的答复却是“正常现象”。这可让李女士无法接受,于是她决定将此事曝光,希望通过舆论的力量来为自己讨回公道。
二、舆论发酵:网友纷纷质疑医院资质

李女士的遭遇一经曝光,立刻引起了网友们的广泛关注。大家纷纷在社交媒体上讨论此事,质疑这家医院的资质和医疗水平。有网友表示,自己也曾在这家医院进行过牙齿种植,术后也出现了类似的问题。
更有网友指出,这家医院在宣传中夸大其词,误导消费者。他们质疑,如此一家医院,为何能在短时间内积累起如此多的患者?难道背后有什么不为人知的秘密?
三、医院回应:否认存在违规行为

面对舆论的压力,佛山某口腔医院也做出了回应。医院表示,对于李女士的遭遇深感抱歉,并承诺会尽快为她解决术后问题。同时,医院还否认了网友们的质疑,称自己一直秉持着“患者至上”的原则,不存在违规行为。
医院方面还表示,已经对李女士的种植体进行了检查,结果显示并未出现松动。至于疼痛问题,可能是由于术后恢复期内的正常反应。医院还强调,他们会加强对医生的培训,提高医疗服务质量,确保患者权益。
四、专家解读:种植牙并非零风险
对于这起事件,口腔医学专家表示,种植牙作为一种常见的牙齿修复方式,确实存在一定的风险。虽然种植牙的成功率较高,但术后并发症也是不可避免的。
专家指出,种植牙术后可能会出现疼痛、感染、松动等问题。这主要是因为手术过程中,医生的技术水平、手术器械的消毒程度以及术后护理等因素都会影响到种植牙的成功率。
五、患者维权:如何避免类似事件发生
面对种植牙术后可能出现的问题,患者应该如何维权呢?专家建议,患者在选择口腔医院时,要尽量选择正规、有资质的医院。在手术前,要详细了解手术过程、术后注意事项以及可能出现的风险。
此外,患者还要注意术后护理,按照医生的要求进行口腔清洁和保养。如果术后出现不适,要及时与医生沟通,寻求帮助。
佛山种牙事件给我们敲响了警钟。在追求美丽笑容的同时,我们也要关注口腔健康,避免陷入类似事件的困境。而对于口腔医院来说,提高医疗服务质量、保障患者权益,才是赢得患者信任的关键。
